Teeth Whitening Service in Paldi

  • Call Today 079 - 2665 0460
  • Consulting Hours 10-00 Am to 01-30 Pm
    05-00 Pm to 08-30 Pm

Full Mouth Rehabilitation

  • Home
  • Full Mouth Rehabilitation
Full Mouth Rehabilitation Service in Paldi

Full Mouth Rehabilitation

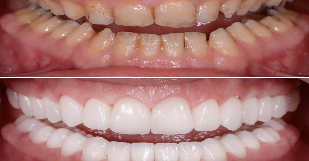
Full-mouth rehabilitation of the worn dentition presents the clinician with many challenges and potential pitfalls. A systematic approach to diagnosis, treatment planning, and risk management is crucial for a predictable outcome. A staged approach to restoring the worn dentition provides the clinician opportunity to evaluate how a patient will respond to occlusal and esthetic changes. In this case, a 61-year-old retired engineer presented with concerns about the wear on his teeth (Figure 1). The case demonstrates the benefits of a staged approach and describes the successful alteration of the initial treatment plan when changes were necessary to better manage risk.

Designing Your Full Mouth Rehabilitation

Whether your teeth are damaged, infected, or lost, or your gums are diseased and need periodontal treatment, we offer a variety of services to address your unique needs. Depending on your condition, your full mouth reconstruction can include;

  • Dental crowns that cover, protect, and restore teeth
  • Porcelain veneers that can improve the appearance of several teeth at once
  • Dental implants for comprehensive tooth replacement
  • TMJ treatment to improve your bite’s function and alleviate jaw discomfort